審美治療とは

美しく自然な歯で
あなたの笑顔を素敵にします

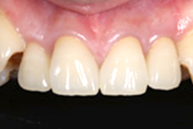
審美歯科とは、口元や笑顔を美しくしたいとお考えの患者さまの想いを叶えて、歯をキレイにしていく治療です。
毎日歯を磨いていたとしても、歯が欠けてしまっている方や、銀歯などは案外目立ってしまうものです。
整った歯並び、さわやかな白い歯、健康的なピンク色の歯ぐきなど、どれか一つ変わるだけでも、あなたの印象は大きく変わるはずです。
歯や口元のことでお悩みでしたら、まずは無料カウンセリングにお越しください。

医療広告ガイドラインに準拠した
治療に関するご説明

治療内容
歯を削り人工の被せ物や詰め物を被せます。
標準費用
(自費)
仮歯 2,200円(税込)/1本~・ジルコニアセラミックスクラウン143,000円(税込)/本
治療期間
・回数
口腔内の状況や治療内容により異なります。
副作用や
リスク
歯を削る必要があります。
治療箇所周囲の健康な歯を削る場合があります。
歯を削ることで痛みやしみたりする場合があります。
被せ物や詰め物は経年劣化が起こる場合があります。

あなたのご要望に
合わせた審美治療

審美治療は、健康的なお口の状態をより美しく改善する治療です。
また、その状態が長期間続くように治療をすすめていきます。

  1. 01

    歯を白くしたい

    歯の一部を削って白い人工物を被せる方法

  2. 02

    歯の形を綺麗にしたい

    歯の一部や全部を削って白い人工物を被せる方法

  3. 03

    歯並びを綺麗にしたい

    歯並びや噛み合せのバランスを整える被せ物の治療(セラミック矯正)

  4. 04

    歯ぐきを健康な色にしたい

    黒ずみの元となる色素の沈着を除去する「歯ぐきのピーリング」

  5. 05

    目立つ銀歯を白い歯に変えたい

    色の気になる被せ物や詰め物を白い素材に変える

美しい口腔内を取り戻す
『セラミック治療』

セラミック治療とは、むし歯や歯周病など、何らかの要因により歯の一部が損なわれてしまった際に、
欠損部分を補う素材を『セラミック』で行う治療の事を指します。
セラミックは親和性が高く、強度が有り、審美性も損なわれない事から、審美目的での治療としても広く浸透しています。

セラミック治療とは

歯の欠損部分を『強く、美しく、親和性の高い素材』で補う歯科治療を指します。本物の歯と見分けがつかないような綺麗な見た目の歯を作れるのもポイントです。欠損部分の補綴だけでなく、ホワイトニングや矯正目的でセラミック治療を受けられる患者さまもいらっしゃいます。
また、審美性だけでなく、強度があり、体への馴染み(親和性)も高いことも特長です。
椿本デンタルクリニックでは、セラミック治療において『ジルコニア』という体に優しい陶器に似た素材を主に使用しています。

セラミック治療でできること

  1. 01

    銀歯や変色した被せ物を白くしたい

    自然な笑顔は相手に好印象を与えます。口を開けた時に銀歯や変色した歯が見えて気になる方は、白く自然で強度のあるセラミックによる被せ物(クラウン)、詰め物(インレー)に交換できます。

  2. 02

    短期間の治療で歯並びを改善したい

    セラミックを使っての歯並び改善治療も可能です。被せ物を作ったり、歯の隙間をセラミックで埋めたりしますので、希望の形や色にする事ができ、短期間で歯並びを改善できます。

  3. 03

    白い歯を手に入れたい

    セラミックは審美性に優れ、半永久的に変色せず、強度の強い素材ですので、これを活用し半永久的な白い歯を手に入れる事ができます。人前に出る職業の方には大変お勧めの治療です。

  4. 04

    金属の影響のない治療を受けたい

    セラミックは金属を一切使用しない素材なので、金属アレルギーの恐れがある方でも治療を受けていただけます。また人体への親和性も高い素材です。

セラミック治療の種類

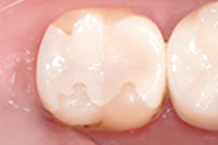
  • 被せ物治療(クラウン治療)

    白い被せ物(クラウン)です。銀歯を白い被せ物に交換はもちろんの事、部分的な歯並び改善、咬合測定により噛みあわせの改善や顎のずれの修正を行う事も可能です。また半永久的なホワイトニング目的で行われる方もいらっしゃいます。

  • 詰め物治療(インレー治療)

    白い詰め物(インレー)です。お口を大きく開けた時、むし歯などの治療跡の銀色や金色、黒っぽい詰め物は気になりませんか?白いインレーに詰め替えることで、美しい笑顔を取り戻す事ができ、明るい笑顔になります。

  • 詰め物治療(アンレ―)

    インレーとは異なり、歯の山の先端(噛み合わせる部分)を含んだ、大きなむし歯や欠けたり割れたりした部分を覆い修復します。インレーよりも広い範囲を補い、咬む面を大きく覆って詰めることをアンレーと言います。

  • 銀歯交換

    銀歯で補綴された方で、口を開けた時に目立つのが嫌だ…とういう患者さまは、銀歯を白くて自然なセラミックの歯に変える治療を行います。自然な笑顔は、口元だけではなく気持ちまで明るくしてくれます。

  • セラミック矯正

    歯並びを改善したい歯(場合によってはその隣りの歯)を削って、歯に被せ物をすることで歯の並びを揃えたり、歯をご希望の形に整える簡易的な矯正です。歯列を動かしていないので、厳密には矯正ではありませんので、治療期間が短く歯並びが改善できます。

    症状により異なりますのでクリニックでご相談ください。

  • 薄いセラミックを張り付ける治療法(ラミネートべニア)

    歯の表面をごく薄く削り、歯の型を取ります。そして、その型に合わせて作られたセラミック製のシェル(付け歯のチップ)を、専用の特殊なセメントで歯に接着し、噛み合わせや歯の隙間などを調整するといった治療になります。

セラミックの種類

  • フルジルコニア

    内側から外側まで全てジルコニア素材を使用しています。金属を使わないので、金属アレルギーが心配の方にも最適で、チタン並みの人体との親和性があります。色は5色ご用意しており、ご自身の歯に一番近い色のものを用いて作製します。

  • ジルコニアボンド(ジルコニアセラミック)

    技工物の表面に透明感のあるセラミックを焼き付けたもので、色数が限られるフルジルコニアより、色を自由に調整できるのが特徴です。自然な透明感が出せるため、優れた審美性・強度を持つ最高級素材です。

当院では他の
セラミック素材も
取り扱っています

  • オールセラミック e-max

    オールセラミックとは、すべてセラミックからなる素材の総称です。
    光を透過するため、まるで天然歯のような透明感があり、年月が経っても変色が少ない素材です。なお、ジルコニアと比べると強度は多少劣りますが、審美的に優れた素材です。

  • ハイブリッド

    ハイブリッドとは、セラミックとプラスチックの成分が混ぜ合わされた材料のことです。
    セラミックの硬さとプラスチックの粘りを兼ね備えた素材です。
    年数と共に変色・変形するなどのデメリットも有ります。

ジルコニアの優れた特性

ジルコニアは強く、軽く、美しく、そして体に優しい素材です。歯科用セラミック材料に求められる要素は強度があり、美しく、安心できる素材であることです。ジルコニアは強度と靭性をもち耐久性、耐食性、耐熱性にも非常に優れ、美しく人体へのなじみも高いことから金属材料に代わるものとして注目されているセラミックなのです。

  • 強くて丈夫な素材なので、しっかり物が噛める
  • 身体への親和性(馴染み)が高く、人体に優しい
  • 金属では出せない透明感ある自然な歯を作れる
  • 金属を使わないので、金属アレルギーの方も安心
  • 金属の1/3の軽さ、歯に掛かる負担も軽減できる
  • 耐熱性、耐久性、耐腐食性が極めて高い素材

ホワイトニングとは

歯を削ることなく、美しく白い歯へ

当院のホワイトニングでは、歯を削ることなく歯の黄ばみを専用の薬で歯を白くしていきます。天然の歯を白くするホワイトニングなら、自然な色調に仕上がり、より美しい笑顔になります。
しっかりとしたご説明と丁寧なカウンセリングで、最適な治療をご提案いたします。ご興味がありましたら、まずはお気軽にお電話ください。

医療広告ガイドラインに準拠した
治療に関するご説明

治療内容
薬剤を使用し歯や歯茎を漂白します。
標準費用
(自費)
歯ぐきのピーリング 5,500円(税込)/1回 ~上下両顎のデュアルホワイトニング 50,600円(税込)
治療期間
・回数
口腔内の状況や治療内容により異なります。
副作用や
リスク
薬剤がしみて痛みなどの刺激が生じる場合があります。
効果の度合いや継続期間には個人差があります。

当院の3種類の
ホワイトニング

  1. 01

    歯科医院で行う

    オフィス
    ホワイトニング

  2. 02

    患者さまご自身が
    自宅で行う

    ホーム
    ホワイトニング

  3. 03

    両方を併用する

    デュアル
    ホワイトニング

オフィスホワイトニング

オフィスホワイトニングは当クリニックにて、スタッフが専用の薬剤を歯の表面に塗布し、歯を白くしていくホワイトニングです。1度の施術で十分実感できる効果を得られ、比較的短期間で白くなりやすいので、予定があってホワイトニングの効果を早く実感したいという方や、お手軽にホワイトニングをしてみたいという方におすすめです。
薬剤は「オパールエッセンスBOOST」(過酸化水素35%)を使用しています。オパールエッセンスBOOSTはシリンジ内で薬材を混合させる、オフィスホワイトニング材です。

ホームホワイトニング

ホームホワイトニングは患者さまがご自宅でホワイトニングジェルを流し込んだマウストレーをつけて行うホワイトニングで、ジェルが歯の中に染み込んでいる汚れを分解し、取り除くことで歯の色を白くしていきます。1日2~8時間トレーを装着し、2週間ほど続けていただきます。(1日30分でできるクイックタイプもあり)歯が白くなる前の期間がかかるのと、ご自分で行う為に手間がかかるのが欠点ですが、ご自身の気に入った段階まで続けられるという利点があります。

デュアルホワイトニング

デュアルホワイトニングは、オフィスホワイトニングとホームホワイトニングを併用して行うホワイトニングです。
これら2つのホワイトニングでは使用する薬剤(ジェル)の濃度がそれぞれ異なっており、薬剤の浸透範囲や漂白作用に違いがあります。その両方を併用することでより広範囲に薬剤が浸透され、どちらか一方の時よりも透明感のある白さになったり、白さをより持続させられる効果を得ることができます。

イベントを控えた方はご注意ください!

ホワイトニングの効果を高めるために、歯表面の汚れ(歯石)を除去してから施術を行います。オフィスホワイトニングには薬剤がしみるの防ぐための事前ケアなどがある為、結婚式やイベントなどを控えている方は、その日から1ヶ月以上前にお越しください。

other treatments

診療案内一覧へ戻る